敬老爱老度重阳|保定京都皮肤病医院重阳节公益行
在重阳节来临之际,保定京都皮肤病医院党支部志愿者团队在王志新院长的带领下,携生活...[详情]
“圆梦山村、点亮希望”——京都皮肤病医院党支部公益慰问行
2023年4月6日,保定京都皮肤病医院党员和志愿者代表携带捐赠的图书、文体教具、...[详情]
影响白癜风治疗成本原因有哪些_定州皮肤病医院看白癜风贵吗
白癜风的治疗费用应根据患者自身的情况来判断。白癜风患者有不同的疾病和不同的费用。...[详情]
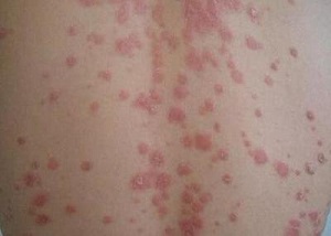
白癜风需要和那些皮肤病鉴别_定州白癜风专科医院
皮肤作为人体的一大器官,承担着非常多的作用,皮肤容易发生的病变也多种多样,特别是...[详情]
皮肤镜检查
毛囊检查
肝功能检查
HPV分型检查
过敏源检查
血常规检查
激素六项检查
其他检查
在重阳节来临之际,保定京都皮肤病医院党支部志愿者团队在王志新院长的带领下,携生活物资及药品赶赴易县,开展了公益慰问活动。...[详情]
2023年4月6日,保定京都皮肤病医院党员和志愿者代表携带捐赠的图书、文体教具、医疗应急箱前往曲阳山区,在郎家庄乡南宋家...[详情]
白癜风的治疗费用应根据患者自身的情况来判断。白癜风患者有不同的疾病和不同的费用。简单的药物治疗可能需要几百元,手术和其他...[详情]
皮肤作为人体的一大器官,承担着非常多的作用,皮肤容易发生的病变也多种多样,特别是一些小孩子,有时候会有白色的皮损,家长就...[详情]
白癜风适合综合性的治疗吗_徐水白癜风医院在哪
吃药可以使白癜风治好,但是单纯去吃药,可能恢复起来比较慢一些。还可以配合局部外用药或者是光照,或者是UVB的照射,或者3...[详情]
白癜风具体病因是什么_保定白癜风医治医院
白癜风是一种非常棘手的皮肤病。当然并不是说不可救药,只是很难治疗,容易复发。所以对于白癜风,要注意预防,同时要了解其病因...[详情]